From Classroom to Cutting-Edge Research: Clélia Poujade's Sci-High Summer with Gene Editing at Northwestern
My name is Clélia Poujade and I’m entering my sixth week as an intern for the Sci-High Summer Program at Northwestern University’s George M. O’Brien Kidney Core Center (NUGoKidney). Ever since I learned about gene editing and epigenetics in my AP Biology class this year, studying the genome and developing gene therapies to treat previously untreatable illnesses have fascinated me. Sci-High has been an incredible stepping stone on my path to biomedical research by immersing me in a research environment and giving me the opportunity to learn amongst professionals. I’ve loved my Sci-High experience so far, and with the final showcase on the horizon, I’m excited to share what I’ve learned this summer with others.
I discovered Sci-High when I was going through a school newsletter that my principal had sent out. Immediately, I was interested; I knew I loved STEMM and wanted to pursue a career in it and had a feeling that this program could be an important way to discover in more depth the world of research. At first, the idea of an end of program showcase made me a bit nervous, since it was beyond showcases I’d done in previous programs. A group presentation of a Google slideshow on Zoom is pretty different from a poster presentation in an auditorium where almost all the seats are filled. But, I knew that Sci-High had the potential to be an incredibly enlightening experience for me and I wanted to push myself out of my comfort zone. So, I made the jump and submitted my application.
The moment I walked into the Simpson Querrey Biomedical Research Center for the Sci-High orientation, I knew I had made the right decision. Sure, the building was a bit intimidating at first but once I met my fellow interns and realized they were some of the loveliest people I’d met, everything fell into place. The energy was so vibrant and positive, and everyone looking forward to a summer full of opportunities. I left the orientation feeling lighter and ecstatic with my decision to apply to Sci-High. The following Monday was my first day in the lab. I remember agonizing over what to wear because I wanted to make sure the lab group I’d be working with took me seriously. I had no idea what to expect. But, when I got there I was welcomed with open arms by my mentor: Dr. Pinelopi Kapitsinou. That same morning, I was introduced to my buddy mentor who I’d be working closely with throughout the summer: postdoctoral researcher James O’Sullivan. I was blown away by how kind and welcoming everyone in the lab was, and my fears of falling flat on my face in a silent, highbrow lab were quickly assuaged.

I’d never previously spent much time thinking about the kidney, but working in a nephrology lab helped me to realize just how important and fascinating the kidney is. With James, I was tasked to analyze the effect of HIF-2α overexpression on damage from renal ischemia-reperfusion injury. Renal ischemia-reperfusion injury (IRI) is caused by the sudden and temporary loss of blood flow to the kidney. IRI is a major cause of acute kidney injury (AKI), a condition that impacts 20% of adults and 33% of children in hospitals worldwide but for which there is no cure. HIF-2α is a hypoxia-inducible factor that regulates kidney cell response to hypoxia, a loss of oxygen to cells and tissues, and attempts to restore balance when hypoxia occurs. Hypoxia occurs in the kidney during IRI, since oxygenated blood flow to the kidney is cut off. So, our hope was that the overexpression of HIF-2α could improve damage caused by IRI. By testing it on mice, our goal was to provide a segway into effective therapies for IRI in humans, given that the mouse model for IRI has proven an effective comparison for IRI in humans in past research. During this research, I was able to have an active role, something that I was incredibly excited about. The first technique I learned was H&E staining, which I used to stain sections of mice kidney tissues so we could later measure the damage to them as a result of induced IRI. I was also able to shadow James during mice surgeries, where a midline laparotomy was performed, and blood flow was cut off to one of the kidneys in order to induce IRI. Then, when we performed dissections on the mice and took out both their kidneys: the contralateral (healthy) one, and the IRI one, I weighed the kidneys to determine size differences between the contralateral and IRI kidney and then cut the kidneys into slices to be fixed in formalin, embedded in paraffin wax, and then later cut into sections and put on slides to be stained.
Pictures I took while shadowing the mouse surgery and a picture of the two kidneys after dissection with the contralateral kidney on the left and the IRI kidney on the right. I then weighed these kidneys and cut them into sections to be fixed in formalin, embedded in paraffin wax, and then sliced into sections and put on slides in preparation for staining.
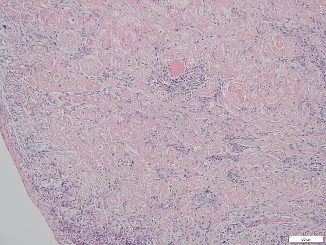
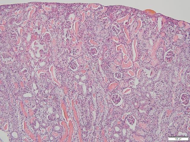
Once, I had stained a few slides, I learned to take images of them under the microscope, which I then used to score the injury in different kidney sections. I loved that I was able to take such an active role in the process and I was pleasantly surprised time and time again when I experienced the patience and knowledge I was given when learning these new techniques. I was able to learn without fear of punishment if I made a mistake.

Images were taken on the microscope of the IRI kidneys I stained. Histological features such as protein casts and necrotic tubular cells can be seen which indicate injury due to induced IRI.
Before Sci-High, I had worked in a research lab studying protein nanopores at the Illinois Institute of Technology. This was my first time working in a lab and provided me with a base that I then applied to the Sci-High program. In particular, my time at IIT allowed me to gain experience reading scientific literature, a skill I then used when reading papers related to the topics I’d be studying in Dr. Kapitsinou’s lab during the Sci-High program. On my first day in the lab, I was intimidated by the researchers I had yet to meet, scared that they would wonder why I was even there given I didn’t have nearly as much experience or comfort in the lab as they were probably used to. But, throughout the program, I was met only with patience, kindness, and a willingness to teach. Everyone was so bright and kind and ready to show me their methods and guide me through the process. Even when I made what I thought were devastating mistakes, like staining James’ styrofoam box with hematoxylin, we laughed it off. I remember more time spent laughing and learning in the cell culture room than feeling stressed or nervous. When I saw the researchers handle their setbacks or disappointments with grace, such as when an experiment didn’t yield the results they were hoping for, it taught me to handle my mistakes and setbacks with grace as well, inside and outside of the lab. I learned that often the most important reward isn’t necessarily your results, but the journey you took to get there and what you learned on the way. Before Sci-High, I was still toeing the line between pursuing a career in STEMM or pursuing a career in another field. But, after meeting the incredible people in this field through Sci-High and getting a more immersive research experience, I’m confident that I want to study STEMM in college. After taking AP biology this year, biology has always been a topic of interest to me, and Sci-High fielded that interest by showing me firsthand how instrumental the field of biology is in developing new therapies for various illnesses, diseases, and conditions. I continue to find the potential of gene editing and therapy to develop new cures fascinating and hope to learn more about those fields in the future.
Overall, Sci-High has been a life-changing experience. The things I’ve learned and the people I’ve met are memories and skills I will treasure and bring with me wherever I go next. I’m so thankful to everyone in the Sci-High program for creating such a welcoming and educational environment. I want to thank my mentors for teaching me so much and making this program a fun, safe space for me to learn and grow. I’m excited to see what the world holds next, and I know that STEMM will be a part of my future journey